Cyber Monday Special Limited Time 70% Discount Offer - Ends in 0d 00h 00m 00s - Coupon code = getmirror
Pass the ARDMS RDCS AE-Adult-Echocardiography Questions and answers with ExamsMirror
Exam AE-Adult-Echocardiography Premium Access
View all detail and faqs for the AE-Adult-Echocardiography exam
378 Students Passed
90% Average Score
91% Same Questions
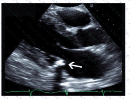
Which echogenic structure is indicated by the arrow on this image?

Which of the following does this Image represent?

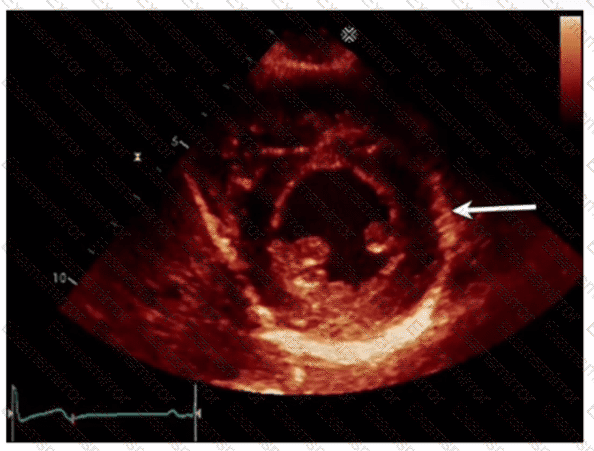
Which coronary artery is identified by the arrow on this image?

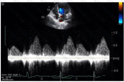
What does the Qp represent in an atrial septal defect shunt ratio measurement (Qp/Qs)?
The respirometer should be turned on when assessing which possible disease process(es)?
Which finding is best demonstrated in this video?

Which left ventricular regional wall segment is indicated by the arrow on this image?

Which coronary artery territory is associated with the wall motion abnormality demonstrated in this video?

When utilizing contrast agents, what should the sonographer keep in mind?
Which of the following are key features of an unrepaired tetralogy of Fallot?
TOP CODES
Top selling exam codes in the certification world, popular, in demand and updated to help you pass on the first try.