Pre-Summer Special Limited Time 70% Discount Offer - Ends in 0d 00h 00m 00s - Coupon code = getmirror
Pass the American College of Rheumatology ACR-MUCR RhMSUS Questions and answers with ExamsMirror
Exam RhMSUS Premium Access
View all detail and faqs for the RhMSUS exam
696 Students Passed
87% Average Score
94% Same Questions
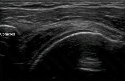
What is the position of the arm MOST likely used to obtain this B-Mode image of the shoulder?

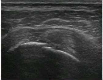
The orthogonal images of a supraspinatus tendon shown here are MOST consistent with which of the following?


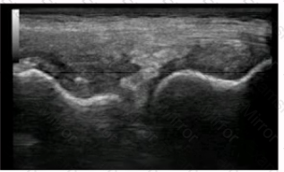
This ultrasound image from a 60-year-old woman with knee pain is MOST suggestive of which of the following?

What should be taken into consideration prior to any procedure?
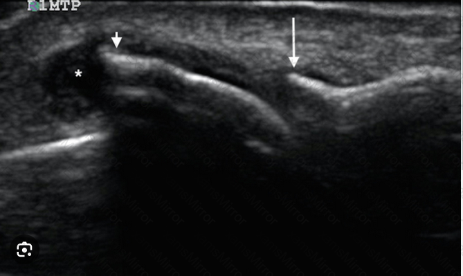
What is the MAIN pathologic finding shown in this ultrasound image?

A woman with a history of long-standing rheumatoid arthritis presents with persistent, chronic wrist pain and swelling. What do the patient’s ultrasound images demonstrate?


At which angle is a dorsal scan of the elbow BEST performed?
Which of the following is MOST accurate regarding high-level disinfection of a probe?
A 45-year-old man presents to the emergency room for evaluation of right knee pain for the past five days. He denies a history of trauma and is afebrile on examination. A right knee effusion is noted on exam. Arthrocentesis is planned and a traditional palpation-guided method is being considered versus an ultrasound-guided technique.
Which of the following is the MOST accurate description of the ultrasound-guided technique in this setting?
The best way to facilitate visualization of ultrasound images in an exam room.
TOP CODES
Top selling exam codes in the certification world, popular, in demand and updated to help you pass on the first try.