Pre-Summer Special Limited Time 70% Discount Offer - Ends in 0d 00h 00m 00s - Coupon code = getmirror
Pass the American College of Rheumatology ACR-MUCR RhMSUS Questions and answers with ExamsMirror
Exam RhMSUS Premium Access
View all detail and faqs for the RhMSUS exam
696 Students Passed
87% Average Score
94% Same Questions
In this volar transverse image of the carpal tunnel, the arrows represent needles, and the arrowheads represent the needle tips. In planning a carpal tunnel corticosteroid injection with ultrasound guidance, which of the arrows combines the safest path through tissues with the BEST needle visualization?

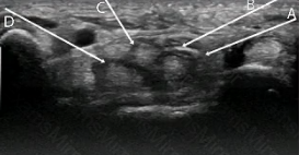
What is the MAXIMUM normal dimension of the structure indicated by the line in this image?

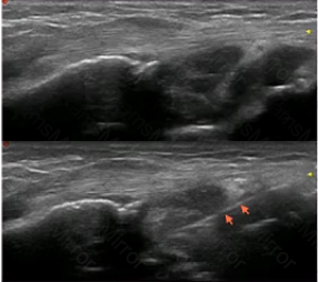
The image below shows the injection of the dorsal wrist region in a patient with rheumatoid arthritis. The needle is indicated by the arrows. Considering the ultrasound findings, which of the following is MOST appropriate in completing the injection?

This posterior transverse scan of the shoulder of a 3-year-old boy shows which of the following?

In this image of a knee, what is the MOST obvious abnormality?

Which of the following represents the BEST method for storing ultrasound images and relevant reports?
In setting up an ultrasound machine to examine blood flow, which of the following statements BEST reflects the difference between color Doppler and power Doppler ultrasound?
Which of the following is inappropriate for conventional musculoskeletal ultrasound?
What is the BEST description for this longitudinal ultrasound scan of a 75-year-old patient with pain in the medial aspect of the knee?

A 37-year-old female with a history of rheumatoid arthritis presents for sonographic evaluation. She has been in clinical remission for six months and is considering discontinuation of her biologic agent. Sonography of the right third metacarpophalangeal joint is shown. Which of the following is the MOST accurate description regarding this image?

TOP CODES
Top selling exam codes in the certification world, popular, in demand and updated to help you pass on the first try.