Pre-Summer Special Limited Time 70% Discount Offer - Ends in 0d 00h 00m 00s - Coupon code = getmirror
Pass the ASCP MLT(ASCP) ASCP-MLT Questions and answers with ExamsMirror
Exam ASCP-MLT Premium Access
View all detail and faqs for the ASCP-MLT exam
891 Students Passed
87% Average Score
92% Same Questions
In primary responses, the major class of antibody produced is IgM whereas in the secondary response, as mentioned in this question, it is IgG. IgG is present in the highest quantities compared to all other antibody classes and is the only antibody able to cross the placental barrier.
Which of the following antibody types is chiefly seen in the secondary immune response:
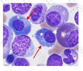
The cells are plasma cells. They are larger than normal small lymphocytes with more abundant cytoplasm. The cytoplasm is more basophilic than the cytoplasm of a normal lymphocyte and a well-defined perinuclear halo (clearing in the golgi area) is noticeable. The nucleus is eccentrically placed. Plasma cells are counted in a separate category on a bone marrow differential.

Hematogones are blast-like cells that are more mature than lymphoblasts. They are usually tallied with lymphocytes when performing a bone marrow differential.
What are the cells that are indicated by the red arrows in the image on the right?
The difference between glass and plastic red stopper tubes is that the:
Question options:
Which of the following tests detect LTBI:
Oxalate, EDTA, and citrate are anticoagulants that inhibit clot formation.
Which of the following blood additives is most useful for serum collection:
Healthcare workers that worked closely with patient specimens were at an increased risk of contracting which viral infection before a vaccine was developed?
What are the certification requirements for clinical laboratory professionals?
The Clinical Laboratory and Standards Institure (CLSI) recommends that all patient specimens are delivered to the laboratory no more than 2 hours after collection to reduce pre-examination variables caused by cellular action and the effects of prolonged exposure of specimens to room temperatures, such as:
Question options:
Once substance H is developed, the addition of the sugar N-acetylgalactosamine to the terminal position of the chain gives the molecule "A" antigenic activity.
Which specific terminal sugar causes a red cell to have A antigenic activity?
Medical Technology is the profession concerned with performing laboratory analyses
Allergen-specific IgE, synthesized in response to allergens, becomes fixed to receptors on cellular membranes, especially those of basophils. If these receptor-bound IgE molecules are aggregated on re-exposure to specific allergen, both mast cells and basophils produce mediators that result in the allergic response. IgE-antigen interaction at the cell surface causes degranulation of cells and release of substances including: histamine, SRS-A, platelet activator, a kallikrein, and an eosinophil chemotactic factor. Basophils are the principal cells that bind IgE antibody while their number of receptor sites is proportional to serum IgE levels. Eosinophils are drawn to the site by the basophil chemotaxis mechanism, but are not the main cell which binds the IgE antibody.
Immunology
The mediator cells that bind MOST to IgE antibodies are:
In which of the following laboratory situations is a verbal report permissible?
The morphologic characteristic(s) associated with the Chediak-Higashi syndrome is (are):
A beam splitter is employed in a dual beam spectrophotometer.
Which of the following is not a component of a basic single beam spectrophotometer:
Darkfield microscopy allows a lower limit of resolution than bright-field microscopy which helps the tiny spirochetes to be seen in patient samples. In darkfield microscpy, there is a dark background where directly transmitted light is excluded by a dark-field condenser allowing only scattered light to be focused on the specimen. With dark-field microscopy bacteria appear luminous against a dark background.
Which of the following microscopic techniques is best suited for direct examination of the infectious agent of syphilis?
TOP CODES
Top selling exam codes in the certification world, popular, in demand and updated to help you pass on the first try.