Pre-Summer Special Limited Time 70% Discount Offer - Ends in 0d 00h 00m 00s - Coupon code = getmirror
Pass the ASCP MLT(ASCP) ASCP-MLT Questions and answers with ExamsMirror
Exam ASCP-MLT Premium Access
View all detail and faqs for the ASCP-MLT exam
891 Students Passed
87% Average Score
92% Same Questions
Which of the following legislation was developed to protect the privacy of all patient information in the health care?
The activities conducted in a laboratory with a certificate of waiver include:
21 CFR 606.65 states, "Supplies and reagents shall be used in a manner consistent with instructions provided by the manufacturer."
The correct answer is A. The reagents must be used according to the manufacturer's instructions for use. If the instructions say one or two drops may be used and the facility procedures also allow one or two drops, then there is no problem with the staff members choosing to use two drops.
While equipment must be calibrated, it does not generally influence the number of drops used.
Staff members often ask co-workers and colleagues from other facilities how to perform tasks, but it is the manufacturer's instructions for the operation of equipment and the use of reagents that must be followed.
A laboratory employee who is performing an internal audit of routine ABO and Rh typing procedures notes that a technologist places two drops of Anti-D in a tube, centrifuges the tube for 20 seconds, and reads the reaction using a magnifying mirror. When questioned about the procedure, the technologist indicates that most staff use two drops of Anti-D reagent because the reactions are stronger with two drops. In addition to reviewing the facility procedure manual, what should be done to ensure regulatory compliance?
The creatinine clearance for this patient is 100 mL/min.
Creatinine clearance values are calculated using the following equation:
Creatinine Clearance (mL / min) = (Urine Creatinine / Serum Creatinine) x Urine Volume (mL) / [ time (hr) x 60 ]
For this patient Creatinine clearance (mL/min)= (120/1.5) x (1800 / [24 x 60])
80 x 1800/1440, which is 80 x 1.25, or 100 mL/min
A 45-year-old male of average height and weight had a serum creatinine of 1.5 mg/dL and urine creatinine was 120 mg/dL; the total volume of urine collected over a 24-hour period was 1,800 mL. Calculate the creatinine clearance for this patient in mL/min.
In radioimmunassay, a fixed concentration of labeled antigen is incubated with a constant amount of antiserum such that the concentration of antigen binding sites on the antibody is limiting. If unlabeled antigen is added to this system, there is competition between labeled antigen and unlabeled antigen for the limited and constant number of binding sites on the antibody, and thus the amount of labeled antigen bound to antibody will decrease as the concentration of unlabeled antigen increases.
Which of the following choices is correct when describing the principles of competitive radioimmunoassay procedures?
Unexplained bleeding is associated with immediate hemolytic transfusion reactions, but is not usually associated with delayed hemolytic transfusion reactions. The bleeding results from disseminated intravascular coagulation (DIC) due to ABO antibodies causing intraventricular hemorrhage (IVH).
Which of the following signs and symptoms may be associated with immediate transfusion reaction, but is NOT usually associated with delayed hemolytic transfusion reaction?
Only non-self antigens can be immunogenic. Self antigens are normally recognized by the immune system as part of the host, so an immune response does not normally occur. Non-self antigens are immunogenic since they have the potential to cause an immune response.
For a substance to be immunogenic it must be:
Failure to tightly seal specimens for sweat electrolytes during collection and transport will cause:
Limited to blood and body fluids visibly contaminated with blood
The National Heart, Lung, and Blood Institute initiated the National Cholesterol Education Program (NCEP) in 1985. The goal was to reduce the number of Americans with elevated cholesterol and thus reduce illnesses and deaths in the United States due to coronary heart disease. Three adult treatment panels have been published since then with clinical practice guidelines for managing cholesterol levels in adults.
The most recent panel, Adult Treatment Panel III (ATP III), was published in 2001 and updated in 2004. The NCEP: ATP III also includes criteria for the diagnosis of metabolic syndrome.
Select the set of laboratory assays that are utilized in the NCEP: ATP III criteria for metabolic syndrome diagnosis.
Two CSF specimens were sent to the Lab with the following results:
Tube #1 = 11,200 rbc/µL
Tube #2 = 300 rbc/µL
The results on these CSF specimens are indicative of:
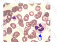
May-Hegglin anomaly is a rare autosomal dominant condition in which patients are at risk for bleeding and infections. It is characterized by the presence of large Dohle body like inclusions within neutrophils, eosinophils, basophils, and monocytes.
The WBC anomaly indicated by the arrow in this illustration is:

This is the total magnification of the high dry objective lens.
A patient has a WBC count of 4,000/mm3, a platelet estimation with 3 bizarre platelets/oil immersion field, hemoglobin, hematocrit, red cell count and indice values are within normal limits. Blue-staining inclusions are seen in the cytoplasm of many neutrophils. These inclusions fit the description of:
Which of the following agencies administers the certification test that you will be eligible to take at the end of your 4 semester?
TOP CODES
Top selling exam codes in the certification world, popular, in demand and updated to help you pass on the first try.